DMLA : Examens & traitements

Comprendre l'DMLA sèche et humide

Un problème de santé visuelle très fréquent en Algérie

La DMLA sèche et humide est une dégénérescence maculaire liée à l'âge affectant la vision central.  

Comment le Dr Ladjimi va procéder pour le traitement de votre DMLA ?

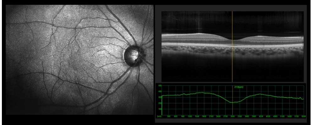
comment diagnostiquer la DMLA ?

Lorem ipsum dolor sit amet, consectetur adipiscing elit. Sed est tellus, porta et tempus at, hendrerit in tortor. Donec eget odio a nunc egestas iaculis. Morbi et magna sit amet ligula ultricies ultrices. 

 

diagnostiquer les signes précoces

Détecter les signes précoces de vieillissement maculaire

Evaluer l’activité de la maladie pour adapter les traitements

Lorem ipsum dolor sit amet, consectetur adipiscing elit. Sed est tellus, porta et tempus at, hendrerit in tortor. Donec eget odio a nunc egestas iaculis. Morbi et magna sit amet ligula ultricies ultrices.

Les traitements proposés par le Dr Ladjimi

Forme humide : injection intra-vitréennes.

Forme sèche : compléments alimentaires + sureveillance.

Chaque traitement est choisi selon les besoins du patient afin d’assurer une prise en charge complète et durable.